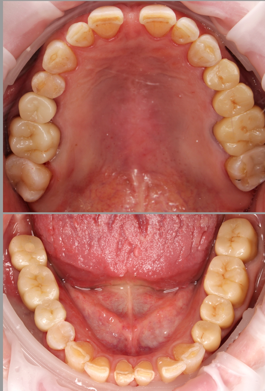
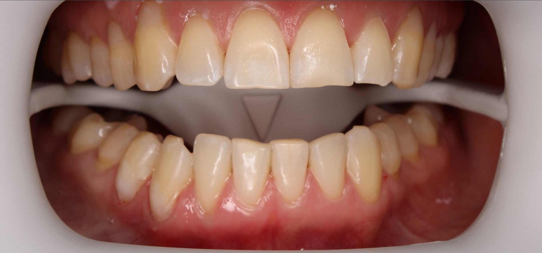
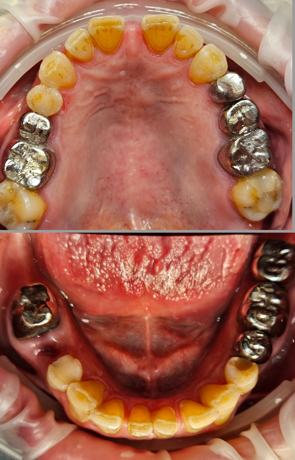
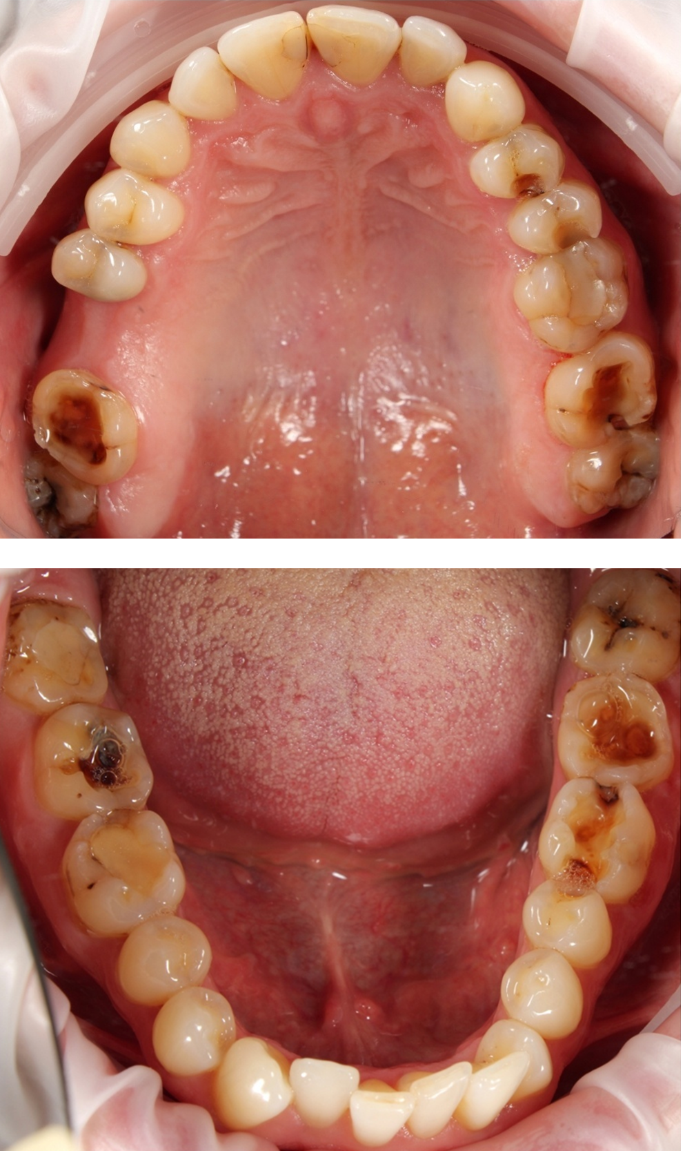
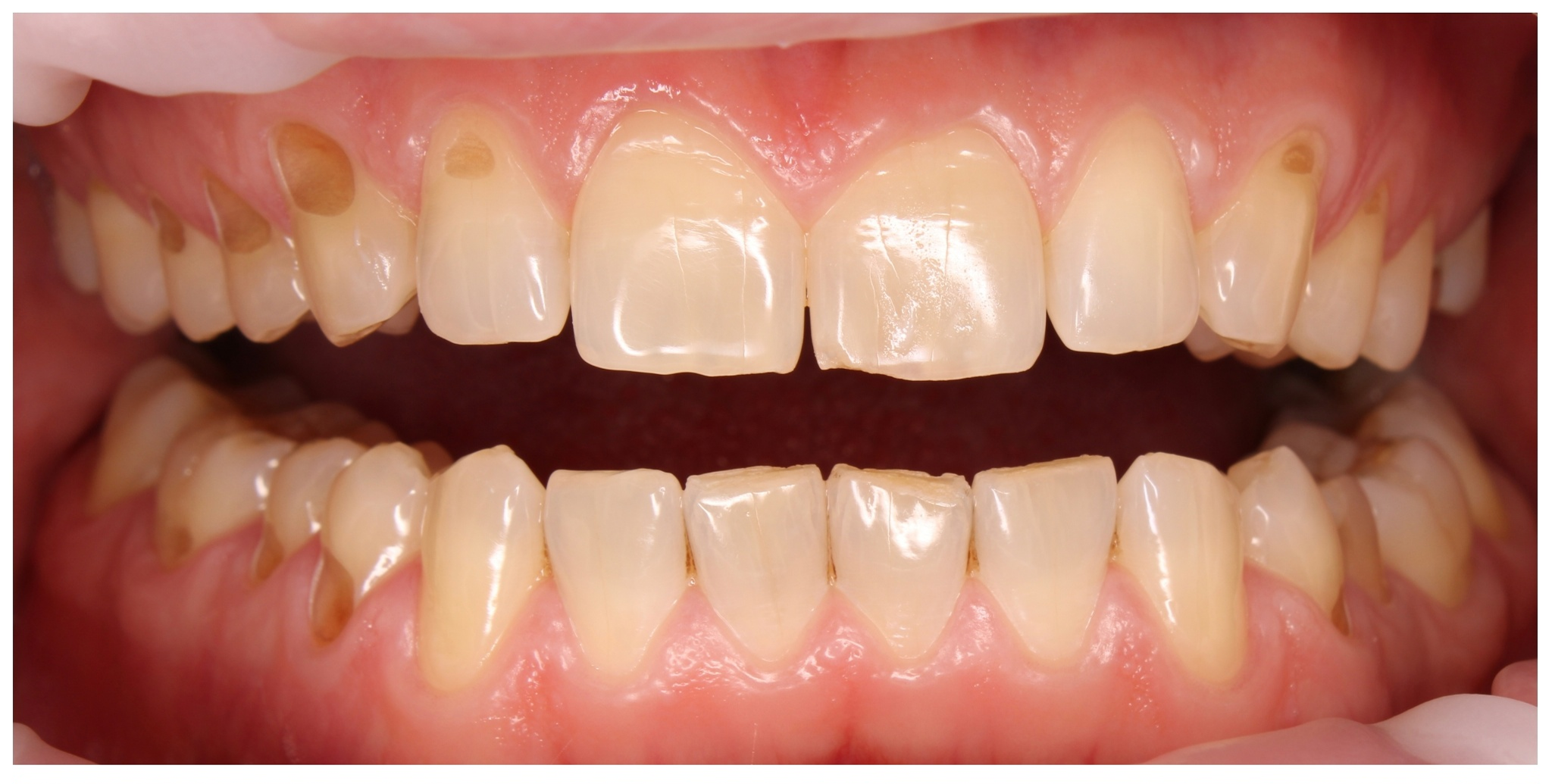
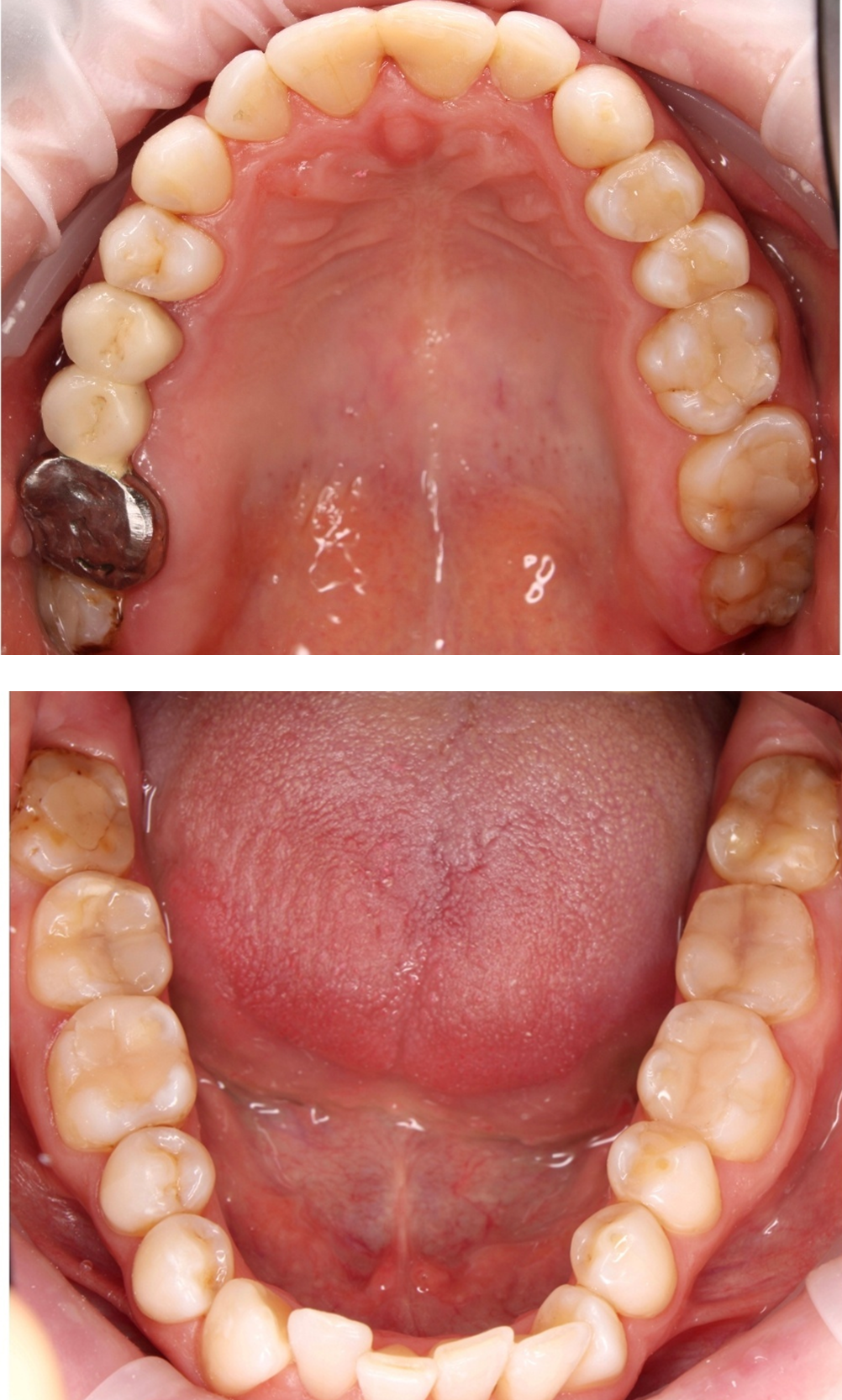
.jpg)
Высшее медицинское образование – ФГБОУ ВО СГМУ, диплом 106704 0001748 выдан 30 июня 2017г., специальность – стоматология. Удостоверение о повышении квалификации 771803183682, рег. номер 02/22-У243 от 04 февраля 2022г. • Двухдневный практический курс по эндодонтии «ENDO. Повседневная практика», 29-30 апреля 2019 года (Ю. Кочаров) • Реставрация фронтальных зубов, 27 октября 2021 (Р. Карпенко) • ЭНДОДОНТИЧЕСКИЙ КОНГРЕСС ENDO24, 1 июня 2024 года • Конгресс - Мастер-класс «СЛОЖНЫЕ СЛУЧАИ В ЭНДОДОНТИИ», 28 апреля 2023 года (А. Болячин, М. Соломонов) • Обучение по программе «Прямая композитная реставрация: основы. Что нужно знать каждому стоматологу», 13 марта 2017 года (Николаев Д.) • Семинар «ПО ИННОВАЦИОННОЙ СИСТЕМЕ ПРОФЕССИОНАЛЬНОГО ОТБЕЛИВАНИЯ FLASH», 2 апреля 2023 года (Г. Халилулина) • Курс на тему: «ФРОНТАЛЬНЫЕ РЕСТАВРАЦИИ», 15 мая 2022 (И. Рузин) • Курс «ОДНА НЕДЕЛЯ НА ПРИЁМЕ С ЭНДОДОНТИСТОМ РАЗБОР 14 КЛИНИЧЕСКИХ СЛУЧАЕВ ПРАКТИЧЕСКИЕ РЕКОМЕНДАЦИИ, АЛГОРИТМЫ И ПРОТОКОЛЫ», 15 февраля 2020 года (Болячин А.)